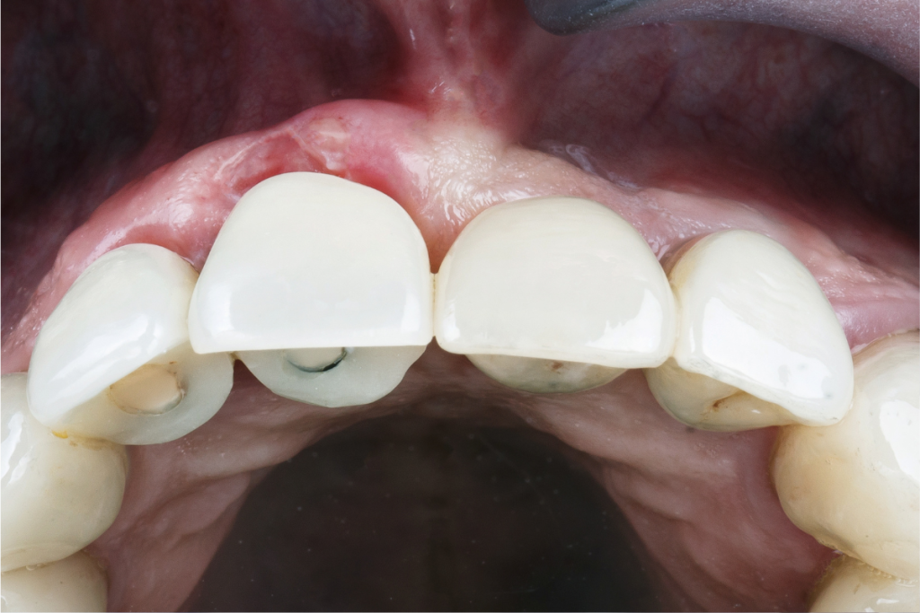
Immediate teeth fixing with basal implants is a dental procedure that provides a quick and efficient solution for individuals who require immediate replacement of missing or damaged teeth. Basal implants, also known as bicortical or cortical implantology, are a type of dental implant that differs from traditional implants in terms of their design and placement technique

Help Us Serve You Better

complete

the form

Assistance

We are specialized healthcare facility where trained professionals offer a wide range of oral health services.